提到牙齒地包天(反頜),有些人還是會有點陌生,簡單的來說就是下門牙咬在上門牙的前面。說實話,臉還會變長,真心很“丑”!有這種苦惱的友友們,想知道重慶市牙齒矯正哪家好嗎?不賣關子了,讓大家看看,我地包天在重慶茁悅口腔做隱適美牙齒矯正后的臉型變化吧!

牙齒地包天的朋友們都是深有體會,不僅僅是“丑”,咬合不對稱、吃東西嚼不爛、容易藏食物殘留、滋生細菌等,危害多的你想象不到~~~還猶豫什么呢,我去重慶茁悅口腔找陸開盛醫(yī)生做隱適美隱形牙齒矯正啦!
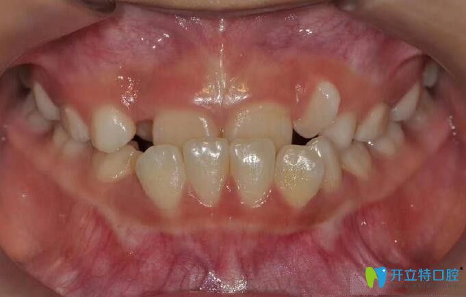
給大家看下我矯正前的地包天牙齒▼,全臉照片還是別看了,有點拿不出手~~~

聊聊重慶口碑好牙齒矯正醫(yī)院那么多我為啥選擇茁悅口腔:
重慶茁悅口腔從外觀上看不出有什么特別之處,但一進去那感覺說非常氣派,一點不過分,首先是面積夠大,大約有2000平方左右。大廳的裝修是暖色調、擺設是美式風格,看上去比較溫馨;特別是獨立的治療室寬敞又明亮,還有空氣消毒機!

從下面的圖片中能看到,茁悅口腔還專門設立了一面展示柜,來放這些牙齒矯正的模型~~~據說,這都是親自到醫(yī)院做牙齒矯正的顧客留下,能看出來非常專業(yè),這是硬道理,口碑勝過一切介紹!

重慶茁悅口腔就不多介紹了,下面說說陸開盛醫(yī)生給我做地包天牙齒矯正的情況:
據說,給我做牙齒矯正的陸開盛醫(yī)生,有30多年正畸臨床經驗,還是隱適美認證講師及醫(yī)生,經常往返、香港、臺北等城市為正畸醫(yī)生進行隱適美培訓。所以,我找他就是要做隱適美牙齒矯正的,根本沒考慮其他項目。
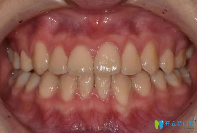
從矯正方案制定好,到戴牙套中間隔了7天時間,嚴格按照醫(yī)生的要求,每天戴牙套20個小時以上,倆月到醫(yī)院復診一次~~~就這樣堅持了1年半的時間,不僅牙齒變整齊,“月牙臉”也沒有啦!

雖說,剛戴牙套是牙齒也會出現輕微的酸痛,也比較麻煩,每次吃飯后都要刷牙;但比起金屬托槽還是要好很多的,首先不磨嘴,吃飯是也不用擔心掛到菜葉子;當然啦,隱形矯正的效果也不比金屬托槽差,(關鍵是陸醫(yī)生的矯正技術好),有上面的照片為證哦!
好啦,不啰嗦啦,我在重慶茁悅口腔找陸開盛醫(yī)生做隱適美牙齒矯正的經過就說到這里!總之,跟隨我多年的地包天牙齒沒有了,臉型也變好看啦,想知道更多的朋友們可以在線留言哦!




