深圳好佰年口腔成立于2021年,是香港好佰年口腔在深圳設立的分院,地址位于深圳市南山區(qū)粵海街道科技園社區(qū)科苑路15號科興科學園B棟B3單元601,臨近深圳灣口岸,與香港隔海相望,交通便利,地鐵1號線深大A4出口。深圳好佰年口腔以港式精品齒科技術為標準,導入香港牙科5S標準管理體系和TQM診所全面質量管理體系,配備先進設備,確保為顧客提供高品質的牙科診療服務。

深圳好佰年口腔開設有舒眠種牙、隱形矯正、美學修復、兒童齒科、牙周治療、牙體牙髓、口腔黏膜等項目。
深圳好佰年口腔醫(yī)療團隊
深圳好佰年口腔診所由香港齒科醫(yī)生坐診,為深圳市民提供港醫(yī)品質的治療和診斷服務,目的在于縮短深港1小時的就診跨度,可以讓兩地的口腔醫(yī)療水平得到合理的交流和提升,造福于深港兩地居民的口腔健康。醫(yī)療團隊還會定期赴韓國、美國、德國等參加學術交流會,意在與世界接軌,讓兩地的居民可以不出家門即可享受的診療服務。

深圳好佰年口腔技術優(yōu)勢
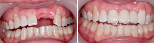
一、種植牙技術
1、韓國進口種植技術:韓國奧齒泰
伴隨著人們對口腔美觀需求的不斷上漲,大多數人都選擇用種植牙這項新興技術來修復自己的口腔缺牙問題,韓國奧齒泰種植系統(tǒng)不僅經濟實惠而且成功率達到90%以上,存留率也能達到95%以上。
2、德國費亞丹ANKYLOS種植牙
采用目前較為先進的“平臺轉換”種植新理念。在牙齒種植過程中,保留數量的軟組織和骨骼,有效避免了牙槽骨重吸收造成種植體受力減輕,能促進牙齦健康,適用于希望獲得較佳外觀的種植牙顧客。

二、皓齒美白技術
皓齒美白技術通過氧化劑過氧化氫中的小分子,穿過牙釉質和牙本質滲透到牙齒的所有部分,在釉小柱間移動,分解清除牙變色的色素分子。不改變牙齒結構的情況下,15分鐘就能產生美白作用。皓齒美白將牙齒色澤分成29個色系,一小時就擁有潔白的牙齒。

深圳好佰年口腔診所會定期在居民小區(qū)或廣場舉辦公益活動,并為有需要的市民進行免費口腔健康檢查,為宣傳口腔健康知識而奉獻出自己的一份力量!
深圳好佰年口腔聯系方式
地址:
深圳市南山區(qū)粵海街道科技園社區(qū)科苑路15號科興科學園B棟B3單元601





